Artículo Original

Ecografía doppler en el seguimiento de la reparación endovascular del aneurisma de aorta abdominal

Ana Hernández Sanfélix1, Irene Ramos Moreno2, Luis J. García Domínguez3, Rebeca Ten Guerola4, Moisés Falcón Espínola2, Manuel Miralles Hernández5

1 Enfermera de Cirugía Vascular, Hospital La Fe de Valencia, España.

2 Médico Residente de Angiología y Cirugía Vascular, Hospital La Fe de Valencia, España.

3 Adjunto en Angiología y Cirugía Vascular, Hospital La Fe de Valencia, España.

4 Enfermera de la Unidad de Trombosis y Hemostasia, Hospital La Fe de Valencia, España.

5 Jefe de Servicio de Angiología y Cirugía Vascular, Hospital La Fe de Valencia, España.

 

Correspondencia

Ana Hernández Sanfélix

Correo electrónico: ahersa23@hotmail.com

Recibido: 20/11/2019

Aceptado: 14/12/2019

 

RESUMEN

Una endofuga se define como la persistencia de flujo sanguíneo en el saco aneurismático. Su incidencia es aproximadamente del 25% y aunque la mayoría cursan de forma “benigna”, en otros casos pueden provocar la presurización del aneurisma, aumentando su tamaño e incrementando el riesgo de ruptura.

El objetivo de este estudio fue analizar la validez diagnóstica de la ecografía doppler con respecto a la tomografía computarizada en la detección de endofugas y crecimiento del saco aneurismático, así como analizamos características morfológicas y hemodinámicas en el seguimiento de endofugas con ecografía doppler.

Se realizó un estudio descriptivo, retrospectivo en que se incluyeron 142 pacientes, intervenidos mediante reparación endovascular entre 2014 y 2019 a los que se realizó el seguimiento postoperatorio según el protocolo del servicio de Angiología y Cirugía Vascular del Hospital La Fe: angioTC y ED en nuestro Laboratorio de Diagnóstico Vascular de forma periódica (al mes postoperatorio y después anualmente).

Durante el periodo de seguimiento se detectaron un total de 34 endofugas (incidencia del 23.9%) la mayoría correspondiendo al tipo II (65% de las mismas). Los tipos IA, IB y III se asociaron a crecimiento del saco (0,84 cm de crecimiento medio). En un caso se produjo la rotura del aneurisma. Comparando con el estándar oro del TC, obtuvimos con el ED una sensibilidad del 66%, una especificidad del 95%, un valor predictivo positivo del 92% y un valor predictivo negativo del 95%.

El seguimiento con ED de pacientes intervenidos mediante EVAR es útil y eficaz en la detección de endofugas, siendo una prueba no invasiva que evita la exposición radiológica y la nefrotoxicidad. Sin embargo dada la sensibilidad debe complementarse con TC en los caso de endofuga persistente y crecimiento del saco aneurismático detectado mediante ED.

 

PALABRAS CLAVE

Endofuga, ecografía, endoprótesis, aneurisma.

 

SUMMARY

An endofuge is defined as persistent blood flow in the aneurysmal sac. Its incidence is approximately 25% and although most of them are "benign", in other cases they can cause the aneurysm to pressurize, increasing its size and increasing the risk of rupture.

The aim of this study was to analyze the diagnostic validity of doppler ultrasound with respect to CT in the detection of endofugues and aneurysm sac growth, as well as analyzing morphological and hemodynamic characteristics in the monitoring of endofugues with doppler ultrasound.

A descriptive, retrospective study was conducted in which 142 patients, operated by endovascular repair between 2014 and 2019, were followed postoperatively according to the protocol of the Angiology and Vascular Surgery Service of La Fe Hospital: angioTC and ED in our Vascular Diagnostic Laboratory on a regular basis (at the postoperative month and then annually).

During the follow-up period a total of 28 endofuges were detected (incidence of 20%), most of them corresponding to type II (65% of them). Types IA, IB and III were associated with sac growth (0.84 cm average growth). In one case the aneurysm ruptured. Compared with the gold standard of CT, we obtained with ED a sensitivity of 66%, a specificity of 95%, a positive predictive value of 92% and a negative predictive value of 95%.

The follow-up with ED of patients operated by EVAR is useful and effective in the detection of endofuges, being a non-invasive test that avoids radiological exposure and nephrotoxicity. However, given the sensitivity, it should be complemented with CT in cases of persistent endofuge and aneurysm sac growth detected by ED.

 

KEYWORDS

Endofuge, ultrasound, stent, aneurysm.

 


Introducción

El aneurisma de aorta abdominal (AAA) se define como el aumento del diámetro aórtico por encima de 3 cm (1). Su prevalencia en Europa oscila 2-8% (2), siendo más frecuente en hombres.

En general, su etiología se considera degenerativa/arteriosclerótica, siendo factores de riesgo la edad, sexo masculino, tabaquismo, arteriopatía periférica, hipertensión, cardiopatía isquémica e historia familiar o personal de patología aneurismática.

En cuanto a su localización, podemos distinguir entre:

  Aneurisma suprarrenal: el aneurisma engloba a una o más arterias viscerales abdominales.

  Aneurisma pararrenal: el aneurisma engloba a las arterias renales.

  Aneurisma yuxtarrenal: el aneurisma se origina justo debajo del origen de las arterias renales.

  Aneurisma infrarrenal: El aneurisma se origina distalmente a las arterias renales.

Para llegar a su diagnóstico, tenemos diversas pruebas complementarias. La Sociedad Española de Cirugía Vascular (3) indica realizar screening vascular mediante ecografía doppler (ED) a aquellos pacientes mayores de 65 años con antecedentes familiares de AAA, así como con dos o más factores de riesgo (hábito tabáquico, hipertensión, arteriopatía periférica y antecedente de cardiopatía isquémica).En caso de que el diámetro sea mayor o igual a 4,5 cm(3) se indica la realización de una tomografía computerizada (TC), para conocer de forma más exacta del diámetro así como realizar una planificación quirúrgica. También se podría utilizar la resonancia magnética con contraste, evitando la radiación ionizante pero es más sensible a artefactos y más tardía en la reconstrucción de imágenes.

El riesgo de rotura de los AAA aumenta con el diámetro del mismo (tabla 1) (4), indicándose su reparación a partir de 5,5 cm, en caso de rápido crecimiento (> 0,5 mm/año) o inicio de sintomatología.

 

Tabla 1. Riesgo de ruptura según el diámetro del aneurisma

Diámetro AAA (cm)

Riesgo de ruptura (%)

3,0-3,9

0

4,0-4,9

1

5,0-5,9

1,0-11

6,0-6,9

10-22

> 7,0

30-33


 


Fig. 1: (A) prótesis Dacron; (B) endoprótesis infrarrenal; (C) endoprótesis fenestrada;

(D) endoprótesis chimeneas; (E) “Branch” ilíaco.


 


Fig. 2. Tipos de endofugas.


 

Hay dos estrategias de reparación que puede ser:

  Cirugía abierta mediante bypass aorto-aórtico, aorto-biliaco o bifemoral (según la degeneración aneurismática de ambas ilíacas) con prótesis de Dacron (Fig. 1:A).

  Tratamiento endovascular mediante endoprótesis infarrenal (figura 1:B), fenestradas (figura 1:C) o chimeneas (figura 1:D) (si están involucradas varias ramas viscerales), asociadas a revascularización o embolización previa de la arteria hipogástrica (figura 1:E).

La elección de la técnica se realizará, dependiendo de la anatomía del aneurisma, la longitud de cuello libre de enfermedad hasta las arterias renales, diámetro y angulación del mismo. De ello y la compatibilidad anatómica de la prótesis dependerá el éxito de la reparación y la ausencia de complicaciones medio y largo plazo.

En los últimos estudios que comparan cirugía abierta vs endovascular, se ha descrito una disminución de la tasa de mortalidad a los 30 días en el segundo grupo (1.7 vs 4.7%), así como una menor tasa de complicaciones a corto y medio plazo y estancia media de hospitalización (5). Por lo que en pacientes añosos con alta comorbilidad, riesgo preanestésico moderado-alto (ASA III-IV) y con una adecuada anatomía, se aboga por el tratamiento endovascular. Esta situación cada vez es más frecuente por por el aumento de la esperanza de vida, y el seguimiento, la detección temprana de complicaciones como puede ser crecimiento del saco, presencia de endofuga o migración de la endoprótesis, es crucial.

Una endofuga se define como el flujo sanguíneo persistente en el saco del aneurisma después de su reparación endovascular. Dependiendo de cuál sea su origen, vamos a distinguir 5 tipos (Fig. 2) (6):

1. Tipo I: ocurre cuando hay un sellado incompleto a nivel del injerto proximal (tipo IA) o distal (tipo IB). Una endofuga tipo I se asocia con una presión elevada del saco y un riesgo alto de ruptura.

2. Tipo II: se define como el llenado del saco proveniente de ramas laterales (generalmente de la arteria mesentérica inferior, arterias lumbares o hipogástricas). Son las más frecuentes, con una incidencia a los 6 meses de la reparación de un 10- 15%. Tiene un curso relativamente benigno en comparación con las tipo I y III ya que alrededor del 50% se resuelven espontáneamente o se mantienen estables.

3. Tipo III: ocurre por erosión de la endoprótesis o una desconexión de alguno de sus componentes. Tiene una incidencia menor (0% a 1,5%), pero con elevado riesgo de ruptura.

4. Tipo IV: está relacionada con la porosidad de la tela del injerto.

5. Tipo V o “Endotensión”: se define como un agrandamiento del saco sin una fuga demostrable.

Como la presencia de endofugas supone un riesgo de rotura en determinados casos, se han establecido protocolos para su detección en el seguimiento postoperatorio de todos los pacientes sometidos a reparación endovascuar del aneurisma abdominal (EVAR). Hay diversas técnicas invasivas o no invasivas para su diagnóstico que describimos a continuación:

- Radiografía de abdomen que nos permite visualizar la migración de la endoprótesis y posibles defectos mecánicos (retorcimiento, dilatación, fractura o desconexión de una rama).

-   Ecografía Doppler: es una técnica que ofrece ventajas como eliminar la nefrotoxicidad y la radiación ionizante, su alta disponibilidad y bajo coste. Una modalidad, sería la utilización de contraste pudiendo ser más sensible en la detección de endofugas de origen retrógado, como son las de tipo II que la tomografía computarizada (7).

Dentro de sus limitaciones es que depende en gran medida del explorador y factores tales como la obesidad o presencia de gas intestinal pueden hacer dificultosa la exploración y dar falsos positivos o negativos.

-   Tomografía computarizada con contraste (3 fases: vacío, arterial y venoso): es el patrón oro. La fase arterial detecta las fugas tipo I y III, mientras que la fase tardía las tipo II o bajo flujo. Presenta la desventaja de la nefrotoxicidad del contraste y la radiación ionizante.

-   Arteriografía: permite detectar tanto flujo anterógrado como retrógrado. Se reserva para el tratamiento de dicha endofuga y ante duda diagnóstica con las anteriores pruebas.

El objetivo principal del estudio fue analizar la validez diagnóstica de ED con respecto al TC en la detección de endofugas y crecimiento del saco aneurismático, en la reparación endovascular de aneurisma aorta abdominal, siendo el TC nuestro patrón oro.

Como objetivos secundarios, se analizó qué tipo de patología y reparación endovascular se realizó de forma programada o urgente. Así como el tipo de endofuga, seguimiento y tratamiento de las mismas según el protocolo clínico del Hospital Universitario y Politécnico la Fe.

 

Metodología

Se realizó un estudio retrospectivo y descriptivo con una muestra de 142 pacientes con patología aneurismática del sector aorto-ilíaco intervenido de forma programada o urgente entre los años 2014-2019 en el Hospital Universitario y Politécnico la Fe, mediante reparación endovascular:

  Endoprótesis infrarrenal monorama y bypassfemoro-femoral.

  Endoprótesis infrarrenal bifurcada

  Endoprótesis fenestrada con 1,2 o 3 stents viscerales.

  Endoprótesis T- Branch

  Embolización previa de arteria hipogástrica o mesentérica inferior.

    •  Revascularización o exclusión de aneurisma de la atería hipogástrica mediante branch ilíaco.

El seguimiento se realizó en el Laboratorio de Diagnóstico Vascular (LDV) del Hospital Universitario y Politécnico la Fe. Las exploraciones fueron realizadas por personal de enfermería de dicha unidad, formado por dos enfermeras acreditadas con la certificación sobre Diagnóstico Vascular de la Sociedad Española de Angiología y Cirugía Vascular, con una amplia experiencia. El seguimiento se realizó con un ecógrafo Philips modelo Ui22 y se empleó una sonda ecográfica curva (3-5 MHz).

El protocolo de seguimiento que realizamos tras la reparación endovascular del aneurisma de aorta abdominal (EVAR) consiste en: TC y ED al mes. En caso de endofuga o crecimiento del saco se repite el TC a los 6 meses (si la endofuga es de tipo I o III se programa arteriografía/intervención preferente) y posteriormente cada 6/12 meses alternando ED y TC (Fig. 3).


Fig. 3: Protocolo de seguimiento en el Hospital La Fe.

 

    Cuando se detecta una endofuga en cualquiera de las estrategias de reparación, se valora el crecimiento o no del saco y se presenta en sesión clínica, decidiéndose vigilancia con imagen de control o arteriografía diagnóstica y realizando reparación endovascular en caso de patología. Normalmente, debido al riesgo de ruptura inherente en las tipo I y III se opta por ser más invasivos que las de tipo II que suelen ser de evolución más benigna.

Adicionalmente, se realiza exploración de arterias digestivas y/o renales previo al alta hospitalaria para diagnóstico precoz de endofuga o estenosis del stent visceral en caso de endoprótesis fenestradas o con chimeneas.

Para la optimización de la imagen diagnóstica ecográfica se realiza un protocolo de preparación del paciente para evitar la presencia de gas intestinal y poder diagnosticar falsos positivos o negativos. El protocolo consiste en:

  Dieta pobre en residuos dos días antes. Evitar alimentos como: arroz, alcachofas, legumbres…

  Toma de 20 gotas Aero Red© en las comidas.

  Acudirá a la realización de la ecografía en ayunas a primera hora de la mañana.

El paciente se coloca en decúbito supino y se realiza en primer lugar, un barrido desde la apófisis xifoides hasta la bifurcación aórtica y ambas ilíacas con la sonda curva en modo B. Así se visualiza la posición de la endoprótesis, se valoran posible migración y se mide el diámetro máximo en el plano axial, tanto el AP como el transverso (Fig. 4). Posteriormente, se inicia la imagen doppler color de forma sistémica para objetivar endofuga de alguna rama visceral o lumbar dentro del saco aneurismático.

Para mejorar la visualización de las endofugas es conveniente disminuir la Frecuencia de Repetición de Pulsos (PRF) con un ajuste de la ganancia color para que la sensibilidad sea óptima para frenar los flujos y que no tenga una sobresaturación de imagen color. Otro dato es hacer la exploración con un Índice Mecánico (IM) bajo (variando entre 0,08-0,09). Otros autores indican un IM más reducido todavía (entre 0,06-0,10) (8).


Fig. 4. Control del diámetro máximo de AAA tras reparación con endoprótesis

fenestrada y embolización previa con “coils” de arteria mesentérica inferior.

      Para conseguir una mejor ventana acústica en la visualización de stent renal u otro tronco visceral, el paciente se coloca de decúbito lateral y se mide tanto el diámetro del riñón, perfusión del parénquima y flujo doppler post-stent para objetivar estenosis del mismo.

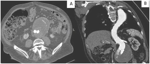
    En el caso de realización de TC en aquellos casos con insuficiencia renal crónica, el paciente ingresa para nefroprotección renal mediante fluidoterapia las doce horas previas y posteriores a dicha prueba diagnóstica (Fig. 5). Luego, se da el alta hospitalaria con seguimiento por nuestro servicio y control analítico a la semana con su nefrólogo de referencia.



Fig. 5. Imagen A: Endofuga tipo II (arteria mesentérica inferior). Imagen B: Endofuga tipo IA.

 

    Para el análisis de resultados se llevó a cabo un análisis estadístico descriptivo con cálculo de frecuencias absolutas y relativas para las variables cualitativas y media con desviación estándar para las variables cuantitativas.

    De los 142 pacientes intervenidos mediante EVAR, el 92% (n=130) se realizó de forma programada y el 8 % (n=12) de forma urgente por rotura de AAA.

    La localización del AAA fue infrarrenal en el 90,5% y yuxtarrenal en el 9,5%. El tipo de endoprótesis implantada fue aorto-biiliaca en el 80%, fenestrada/multirrama en el 12,8%, aortouniiliaco + by-pass femoro-femoral en el 6,4%. En 9 (6,3%) casos se asoció embolización de arterias hipogástricas/mesentérica inferior intraoperatorio. En 7 (4,9%) casos se implantó un Branch iliaco(rama) para preservar el flujo de la arteria hipogástrica.

     La media de diámetro máximo del saco aneurismático en el seguimiento al inicio del seguimiento fue 6,28 cm + 1,45 cm.

    En el control intraoperatorio se detectaron 14 endofugas (9,8%) de los tratados, siendo un 41% del total de endofugas), de las cuales 8 (57%) de las fugas intraoperatorias) se resolvieron espontáneamente al mes, persistiendo 6 endofugas (43%), de esas 6, el 100% fueron detectadas en el TC y 3 (50%) se detectaron en el ED. De las 3 (50%) que no se detectaron en la ED indicar que 2 (66%) de las cuales en el TC de confirmación la fuga ya no persistía y que el saco había decrecido, y la tercera fue una exploración con mala visibilidad por abundante gas intestinal del paciente.

    En el seguimiento al mes post-operatorio, se identificaron 11 nuevas endofugas por TC (7,7 % de los tratados, siendo un 32% del total de las endofugas), 4/11 (36%) también se detectaron en el ED. En el seguimiento post-operatorio del mes en el ED se detectaron 3 nuevas endofugas. Durante el seguimiento posterior hasta la actualidad, se visualizaron 6 nuevas endofugas por ED, por lo que hicieron el total de 34 (23.9 % de los tratados).

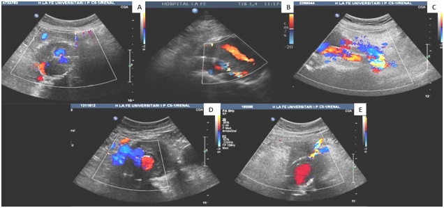
    La mayoría de las endofugas (65,5%) fueron de tipo II, seguidas de tipo IB (10%) y IA y III (7%), respectivamente (Fig. 6). En todos los casos, hubo un crecimiento medio 0,79 cm + DE 0,31 cm del saco aneurismático, produciéndose una muerte por rotura del mismo debido a una endofuga tipo II (arteria lumbar) de alta presión.


Fig. 6: Imagen A: Endofuga tipo II (arteria lumbar). Imagen B: Endofuga tipo II (arteria mesentérica inferior).

Imagen C: Endofuga tipo IB. Imagen D: Endofuga tipo IA. Imagen E: Endofuga tipo III.

  

    En cuanto al tratamiento de las mismas, se embolizó una endofuga tipo II de la arteria mesentérica inferior, se implantó un stent proximal, distal y otro en arteria renal derecha. Además, mediante arteriografía diagnóstica se excluyó una endofuga y se realizó un bypass aorto-biliaco urgente por ruptura aórtica, falleciendo finalmente el paciente por una endofuga tipo II (arteria lumbar) de alta presión, en éste caso era una prótesis de sellado (Modelo Nellix) que actualmente está suspendido su uso por problemas de migración y no sellado, antes referida.

    En el 75% (n=23) de las endofugas, no hubo crecimiento de saco y un 20% (n=7) están en seguimiento ecográfico y control del diámetro del saco aneurismático, ya que son endofugas de tipo II y tienen una media de crecimiento de 0,5 cm + DE 0,15 cm. Una de las endofugas está pendiente de extensión proximal inminente de la endoprótesis por endofuga tipo IA y otra, de arteriografía diagnóstica.

    Hubo 24 pérdidas de seguimiento (17%), siendo 17 (70%) por éxitus debido a otra patología.

  Dado los resultados en la detección de endofugas del ED comparados con TC, mediante la validación de una prueba diagnóstica, se obtuvo una sensibilidad y especificidad de la ED con respecto al TC del 66% y 99%, respectivamente; así como un valor predictivo positivo del 92% y valor predictivo negativo del   95%.

    Desglosando la sensibilidad anualmente hemos sacado los siguientes resultados: en el año 2014, del 66%, en el 2015, del 75%, en el 2016, del 50%, en el 2017, del 66% y en el 2018, del 66%.

 
Discusión

    La reparación endovascular de AAA se ha convertido en el enfoque preferido en los últimos 20 años, por ser una técnica menos invasiva y por los resultados en los dos ensayos clínicos más relevantes (EVAR 1 y OVER). Éstos han demostrado de forma significativa, una menor mortalidad al año (1,4 %) en comparación con 4.2% para la cirugía abierta (OR, 0.3; IC 95%, 0.22-0.50; P <.0001) (5).

    Después de dicha reparación endovascular, la necesidad de una vigilancia continua nos impulsa a una búsqueda de la prueba de imagen más óptima para vigilar el diámetro aórtico, posibles endofugas, fallos estructurales o patología vascular de miembros inferiores por estenosis u oclusión de una de sus ramas.

    No obstante, el tema principal que nos ocupa, son las endofugas que pueden ser detectadas hasta en un 45% de los casos (9). Por lo tanto se necesita de una herramienta de diagnóstico fiable y reproducible para tener la mayor precisión en la detección de las mismas.

    La TC se utiliza actualmente como patrón oro, teniendo como ventaja sobre la ED, que es altamente reproducible, menos dependiente del operador y la adquisición de imágenes es muy rápida. Pero no está exento de limitaciones: la exposición a la radiación, las complicaciones asociadas a los contrastes nefrotóxicos, sobre todo en pacientes con insuficiencia renal, y un mayor coste.

    El ED es una técnica de imagen alternativa bastante atractiva, por ser menos invasiva, menos costosa, altamente reproducible y no requiere la exposición repetida a la radiación ionizante ni a contrastes nefrotóxicos. Sin embargo, es explorador dependiente y se ve afectado por el hábito corporal del paciente y su estado de ayuno. De ahí la importancia de la aplicación en todos los pacientes de una adecuada preparación y realizar las exploraciones con personal cualificado (en nuestro centro personal de enfermería acreditado por el Capítulo de Diagnóstico Vascular de la SEACV).

Hay estudios que han demostrado una mejor sensibilidad de ED, sobre todo de las endofugas tipo II cuando añadimos a la exploración contraste intravenoso (IV)(10). Lo que nos resulta alentador para añadirlo en nuestros estudios de seguimiento de endoprótesis, ya que posee menos efectos secundarios por administrarse sólo 2,4 ml de contraste nefrotóxico y no contener radiación ionizante.

    Los resultados obtenidos, nos llevan a plantearnos como mejora, implementar las exploraciones de ED, con el uso de contraste para evitar así la radiación ionizante continua que se someten a éste tipo de pacientes, ya que los resultados en nuestro estudio, no alcanzan la sensibilidad y especificada descrita en el reciente metanálisis con respecto al diagnóstico de endofugas con ED (sensibilidad 83% y especificidad 100%)(11).

    Aunque los resultados no sean tan alentadores como en los estudios antes referidos en la administración de contraste en el ED, nuestra sensibilidad está por encima de muchos estudios realizados por otros centros, por ejemplo, V. Cantisani et. al (8), obtuvo una sensibilidad en el ED del 58 % en un estudio realizado entre 2007-2009. Y K.K. Bredahl et. al (12), obtuvo una sensibilidad en la detección de endofugas del 46% en un estudio realizado entre 2011 y 2014.


Conclusiones

    El seguimiento con ED de pacientes intervenidos mediante EVAR es útil y eficaz en la detección de endofugas, siendo una prueba no invasiva que evita la exposición radiológica y la nefrotoxicidad. Sin embargo dada la sensibilidad debe complementarse con TC en los caso de endofuga persistente y crecimiento del saco aneurismático detectado mediante ED.


Bibliografía

1. Moll FL, Powell JT, Fraedrich G, Verzini F, Haulon S, Waltham m, et al. Management of abdominal aortic aneurysms clinical practice guidelines of the European Society for Vascular Surgery. Eur J Vasc Endovasc Surg 2011; 41(Suppl. 1): S1-58.

2.  Mussa FF. Screening for abdominal aortic aneurysm. J Vasc Surg. 2015 Sep;62(3):774-8.

3. Kent KC, Zwolak RM, Jaff MR, Hollenbeck ST, Thompson RW, Schermerhorn ML,et al; Society for Vascular Surgery; American Association of Vascular Surgery; Society for Vascular Medicine and Biology. Screening for abdominal aortic aneurysm: a consensus statement. J Vasc Surg. 2004 Jan;39(1):267-9.

4. Reed WW, Hallet Jr JW, Damiano MA, Ballard DJ. Learniing from the last ultrasound. A population-based study of patients with abdominal aortic aneurysm. Arch Intern Med 1997; 157:206-8.

5. Chaikof EL, Dalman RL, Eskandari MK, Jackson BM, Lee WA, Mansour MA, Mastracci TM, Mell M, Murad MH, Nguyen LL, Oderich GS, Patel MS, Schermerhorn ML, Starnes BW. The Society for Vascular Surgery practice guideline son the care of patients with an abdominal aortic aneurysm. J Vasc Surg. 2018 Jan;67(1):2-77.

6. Cassagnes L, Pérignon R, Amokrane F, Petermann A, Bécaud T, Saint-Lebes B, Chabrot P, Rousseau H, Boyer L. Aortic stent-grafts: Endoleak surveillance. Diagn Interv Imaging. 2016 Jan; 97(1): 19-27.

7. Lederle FA, Walker JM, Reinke DB. Selective screening for abdominal aortic aneuysms with physical examination and ultrasound. Arch Intern Med 1988;148(8):1753-

8. Cantisani V, Ricci P, Grazhdani H, Napoli A, Fanelli F, Catalano C, Galati G, D'Andrea V, Biancari F, Passariello R. Prospective comparative analysis of colour-Doppler ultrasound, contrast-enhanced ultrasound, computed tomography and magnetic resonance in detecting endoleak after endovascular abdominal aortic aneurysmrepair. Eur J Vasc Endovasc Surg. 2011 Feb;41 (2):186-92.

9. Moore WS, Rutherford RB. Transfemoral endovascular repair of abdominal aortic aneurysm: results of de North American EVT pase 1 trial. EVT Invewstigators. J Vasc Surg 1996; 23:543-53.

10. Heilberger P, Schunn C, Ritter W, Weber S, Raithel D. Postoperative color Flow duplex scanning in ortic endofraftiing. J Endovasc Surg 1997; 4:262-71.

11. Karthikesalingam A, Al-Jundi W, Jackson D, Boyle JR, Beard JD, Holt PJ,Thompson MM. Systematic review and meta-analysis of duplex ultrasonography, contrast enhanced ultrasonography or computed tomography for surveillance after endovascular aneurysm repair. Br J Surg. 2012 Nov;99 (11):1514-23.

12. Bredahl KK, Taudorf M, Lönn L, Vogt KC, Sillesen H, Eiberg JP. Contrast Enhanced Ultrasound can Replace Computed Tomography Angiography for Surveillance After Endovascular Aortic Aneurysm Repair. Eur J Vasc Endovasc Surg. 2016 Dec;52(6):729-734.

 

Agradecimientos

    Nuestro agradecimiento al resto del equipo que forman el Servicio de Angiología y Cirugía Vascular del Hospital La Fe. Cabe especial mención mi compañera recién jubilada Mercedes Guillén Cortés que sin su energía no hubiese podido realizar el presente estudio.