Caso Clínico


Abordaje multidisciplinar en paciente con úlcera arterial de origen iatrogénico


Aida de la Fuente Prieto1, Mª Luz Rodríguez Martínez2, Susana Valerdíz Casasola

1 Centro Atención Primaria Área IV – Asturias

2 Unidad Heridas Crónicas. Hospital Universitario Central de Asturias

 

Correspondencia

Aida de la Fuente Prieto

Correo electrónico: aidaprieto@hotmail.com

Recibido: 04/11/2019

Aceptado: 12/12/2019

 

RESUMEN

Se define iatrogenia como una alteración negativa del estado de salud causada sin intención por la actuación de los profesionales sanitarios tras la administración de un tratamiento, y úlcera iatrogénica, como aquella lesión que cursa con pérdida de la integridad cutánea, provocada, entre otras causas, por diferentes dispositivos utilizados con fines diagnósticos o terapéuticos.

Se presenta el caso de una mujer de 91 años, dependiente leve para las actividades de la vida diaria, sin deterioro cognitivo, que presenta úlcera iatrogénica en miembro inferior derecho.

Tras caída casual, sufrió fractura bimaleolar de tobillo derecho; se realizó manipulación quirúrgica bajo sedación para reducción cerrada y tratamiento con yeso ortopédico.

En la cuarta semana presentó cuadro febril que precisó ingreso hospitalario durante cuatro semanas, retirándose entonces la órtesis y objetivándose gran úlcera supramaleolar externa. Dada de alta y en seguimiento por Atención Primaria, presentó evolución tórpida de la úlcera y patología arterial asociada, por lo que se deriva de forma preferente a Cirugía Vascular, que indica ingreso para angioplastia y limpieza quirúrgica de lesiones.

Tras alta hospitalaria, su enfermera comunitaria instauró un plan de cuidados destinado a unificar criterios y disminuir la variabilidad terapéutica, consiguiendo la epitelización de una lesión compleja en paciente frágil, pluripatológica y polimedicada en diez meses de tratamiento.

Para la resolución del problema fue preciso un enfoque multidisciplinar e interdisciplinar, para proporcionar a la paciente una atención integral, programando la transición entre niveles y la comunicación entre los profesionales.

 

PALABRAS CLAVE

Heridas y traumatismos, Enfermedad iatrogénica, Relaciones interprofesionales.

 

SUMMARY

Iatrogenesis is a negative alteration of the health estatus induced inadvertently by the performance of health professionals after medical treatment, and iatrogenic ulcer the lesion that leads to loss of skin integrity caused, among other reasons, by different devices used for diagnostic or therapeutic purposes.

We present the case of a 91-year-old woman, a mild dependent in activities of daily living, without cognitive impairment, and with an iatrogenic ulcer in the right lower extremity.

As a result of an accidental fall, she suffered a bimalleolar ankle fracture, surgical manipulation under anesthesia was performed for closed reduction, and then treated with an orthopaedic cast.

At week four, she presented a clinical picture of fever that required hospital admission for four weeks, removing orthosis and revealing a large external supramalleolar ulcer at that moment. Being discharged and in follow-up by Ambulatory Care, she presented a torpid evolution of the ulcer and associated arterial pathology, for which reason she was urgently referred to Vascular Surgery, where they indicated admission for angioplasty and surgical skin lesion removal.

After hospital discharge, her Certified Nurse Practitioner established a nursing care plan aimed at unifying criteria and reducing therapeutic variability, achieving epithelialization of a complex lesion in a fragile, multipathological and polymedicated patient in ten months of treatment.

Thus, a multidisciplinary and interdisciplinary approach was necessary to solve the problem, providing the patient with comprehensive care, programming the transition between levels of care and communication between professionals.

 

KEY WORDS

Wounds and injuries, Iatrogenic disease, Interprofessional relations.


Introducción

    Según la Organización Mundial de la Salud, los eventos adversos son daños no intencionales causados al paciente, derivados de la propia atención sanitaria y no de la enfermedad de base. No implican necesariamente error, negligencia ni calidad baja de dicha atención.

    Se conoce desde hace mucho tiempo que la asistencia sanitaria entraña riesgos. Ya Florence Nightingale (1) señala en su “Notes on hospitals” (1863) “el primer requisito de un hospital es que no debería causar daño a los enfermos.”

     A lo largo de la historia se levantan voces críticas en relación con las prácticas inadecuadas, las realizan filósofos, pensadores, pero sobre todo los propios profesionales. Sirva de ejemplo el trabajo de Joseph Ignaz Semmelweis (1818-1865) sobre la prevención de las fiebres puerperales en Viena que le costó la expulsión del hospital y el declive de su carrera profesional (2).

    Actualmente, la complejidad cada vez más elevada de los sistemas sanitarios hace necesario estrategias de mejora, minimizar riesgos y difundir prácticas seguras. La preocupación por la calidad sanitaria, entendida como la seguridad de los pacientes es una prioridad para los sistemas de salud. “La cultura de la seguridad es un elemento clave en la atención de los pacientes y un requisito obligado de calidad asistencial en los entornos de cuidados agudos” (3).

    En España, la frecuencia y distribución de los eventos adversos se ha analizado en varios estudios promovidos por el Ministerio de Sanidad, Servicios Sociales e Igualdad en el ámbito hospitalario.: en el estudio ENEAS (4) la incidencia estimada de pacientes con eventos adversos fue 9,3%, en el estudio APEAS (5), su prevalencia en las consultas de atención primaria, 11,2‰, mientras que el riesgo de sufrir un evento adverso en unidades de cuidados intensivos fue 40%, estudio SYREC (6) y en pacientes atendidos en los servicios de urgencias 7,2% según el estudio AVADUR (7).

    Como explica Andreu Segura “las consecuencias indeseables de la medicina y la sanidad, no se derivan exclusivamente de errores y negligencias. La iatrogenia, como muchos otros problemas de salud pública, no tiene solución estrictamente médica o sanitaria, sino que requiere de un abordaje global que implica la participación de muchos sectores determinantes de la sociedad, desde la cultura hasta la jurisprudencia pasando por la comunidad entera. (8)

 

CASO CLÍNICO

    Se presenta un caso clínico de un paciente captado en el servicio de urgencias y derivado a la consulta de curas del Hospital de Alta resolución de Puente Genil en enero de 2019 que presentaba una lesión de dos meses de evolución en la pierna izquierda.

 

Anamnesis

Mujer de 91 años, sin deterioro cognitivo, deambulación independiente con bastón, Barthel de 75 hasta sufrir fractura de tobillo.

Vive en acogimiento definitivo con hija, yerno y nieto.

Padece HTA, Hipercolesterolemia, Cardiopatía hipertrófica, Síndrome ansioso- depresivo, Hipoacusia,

Tratamiento farmacológico con: Enalapril 20: 1-0-0, Furosemida 40: 1-0-0, Trifusal 600: 0-1-0, Atorvastatina 20: 1-0-0, Omeprazol 20: 1-0-0, Sertralina 50: 1-0-0, Mianserina 30: 0-0-1, Paracetamol si precisa.

Adherencia terapéutica correcta.

 

Problema actual

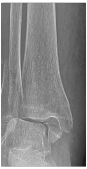
Con fecha 03/04/2017, tras haber sufrido caída casual, acude al servicio de urgencias del hospital de referencia, donde se diagnostica fractura-luxación bimaleolar de tobillo derecho (Fig. 1) y se decide ingreso hospitalario.


Fig. 1. Rx de fractura tras caída casual

 

En quirófano, bajo sedación, se realizó manipulación para reducción ortopédica de fractura bajo escopia y se colocó yeso cerrado. Alta hospitalaria el 06/04/2017 con recomendación de mantener elevada la extremidad y no apoyar.

En primera revisión en consulta externa a las dos semanas, se recortó bota de yeso por roce en quinto dedo; radiológicamente bien.

Pasadas cuatro semanas de la inmovilización acude de nuevo al servicio de urgencias por cuadro febril y diarrea, precisó de nuevo ingreso, en esta ocasión en un hospital de segundo nivel permaneciendo en él cuatro semanas. Recibió tratamiento empírico con antibióticos. Hemocultivos y coprocultivos negativos. Desaparición de la fiebre y mejoría de la diarrea.

Las revisiones pendientes de la fractura de tobillo las realizó el S. de Traumatología de dicho hospital para evitar traslados a la paciente. Pasadas siete semanas de la inmovilización se indicó inicio de carga con bota. La paciente, con actitud apático-asténica y deterioro funcional, apenas colaboraba, se solicitó consulta al servicio de Rehabilitación e inició sesiones asistidas en el gimnasio hasta el alta. También se reevaluó y ajustó tratamiento médico antidepresivo.

A la semana siguiente, ocho tras la inmovilización, se le retira yeso, objetivándose en ese momento gran úlcera supramaleolar externa.

Tres días más tarde, alta hospitalaria (01/06/2017) a su domicilio para seguimiento por equipo de salud de Atención Primaria. Aporta informe de continuidad de cuidados en el que describe, entre otras lesiones: úlcera en pierna derecha, secundaria a tratamiento con escayola, con evolución a la necrosis en las últimas 48 horas.

Tratamiento local de la lesión: cura seca con povidona yodada.

Para la continuidad del tratamiento rehabilitador y se instruyó a la paciente y a la hija en movilizaciones, transferencias y estimulación progresiva.

 

Valoración

En la primera visita domiciliaria, la enfermera de su Centro de Atención Primaria de referencia realizó una valoración integral de la paciente.

La cuidadora principal de la paciente es su hija, que cuenta con la ayuda del resto de miembros de la familia, consiguiendo reservar un espacio diario para sus actividades.

  Escala de Barthel con resultado de dependencia total.

  Escala de Braden con resultado de riesgo moderado.

  Estado Nutricional con desequilibrio por defecto, niveles bioquímicos de proteínas totales 50g/l (64-83) y albúmina 23gl (35-52). Se ayudó a componer dieta con ingesta apropiada, proporcionando información adecuada acerca de necesidades nutricionales. Tiene buen apetito.

  Dolor: presente, más intenso en posición de decúbito, EVA 3, que se controlaba con la analgesia prescrita.

  Lesión de 9cm x 7cm., lecho cubierto por tejido necrótico, bordes irregulares, con eritema perilesional inferior a 1cm., exudado moderado de aspecto seroso y edema en dorso de pie y maléolos. (Fig. 2)

 

Exploración vascular:

Pulsos poplíteos presentes, pero no se palpaban pulsos pedio ni tibial posterior. Ante la ausencia de pulsos distales se realizó exploración con Doppler, siendo las ondas en arteria tibial posterior y pedio aplanadas. No se realizó índice tobillo/brazo por coincidir la zona de colocación de manguito con la úlcera y presentar dolor. Se confirmó patología arterial asociada.

 
 

Fig. 2. Lesión de 9 cm. x 7 cm. Tejido necrótico en lecho

 

Diagnóstico

Diagnóstico inicial: lesión iatrogénica por yeso ortopédico

Diagnóstico diferencial: lesión iatrogénica en paciente con arteriopatía.

Diagnóstico final: lesión iatrogénica en paciente con isquemia crónica grado IV.

 

Tratamiento y evolución

Se continuó realizando cura seca con povidona yodada en lecho de la herida para delimitar. Se realizaba vendaje de sujeción no compresivo.

En talón se aplicaban ácidos grasos hiperoxigenados y se usaba talonera de poliuretano para reducir la presión y realizar prevención de UPP.

Se planificó asistencia domiciliaria tres días por semana.

Diez días después, la evolución de la herida era tórpida: presentaba lecho esfacelado, persistiendo tejido necrótico en un 30% de la superficie, con bordes excavados, eritema perilesional, exudado abundante y cambio de olor en el mismo.

Se realizó cultivo, resultando positivo, y se pautaron antibióticos vía oral según antibiograma. Se reevaluó el tratamiento local y se iniciaron curas con cadexómero iodado para desbridar y manejar la carga bacteriana, y apósitos de alginato para gestionar el exudado. Protección de bordes con crema barrera e hidratación de piel perilesional con ácidos grasos hiperoxigenados en emulsión.

Pasados veinte días desde el alta, se propuso solicitar consulta preferente a Cirugía Vascular. La paciente en ese momento rechazó nuevas valoraciones, se negaba rotundamente a acudir a nuevas consultas. Fue preciso fomentar el afrontamiento, y para ello se proporcionó información objetiva respecto al diagnóstico y tratamiento, valorando respuestas alternativas a la situación, ayudando a la paciente a clarificar conceptos equivocados, construyendo una relación de confianza y dando apoyo emocional. Finalmente aceptó.

Valorada por Cirugía Vascular, se decide ingreso para realización de estudios adicionales y tratamiento con antibiótico por vía parenteral.

 

Estudios complementarios

Arteriografía:

1.- Poplítea con estenosis focal significativa en tercera porción y obstrucción de 3 cm. en el tronco tibio- peroneo.

2.- Los troncos distales permeables, la tibial posterior y peronea en todo su trayecto. (Fig. 3)

 

Fig. 3. Arteriografía

 

Posteriormente fue intervenida quirúrgicamente, realizándose angioplastia con resultados subóptimos y limpieza quirúrgica.

Ante la buena evolución de las lesiones, teniendo en cuenta la edad y situación general de la paciente, se desestima by-pass, siendo dada de alta hospitalaria el 28/07/2017, con indicación de curas domiciliarias por el personal de su centro de salud y revisiones en consulta especializada.

El informe de continuidad de cuidados al alta recomendaba curas locales con apósito hidrofibra de hidrocoloide con plata.

 

Tratamiento y evolución tras revascularización

Enfermería comunitaria, para evitar las consecuencias de una atención fragmentada y compartimentada, elaboró un plan de cuidados destinado a ofrecer cuidados integrales, unificar criterios y disminuir variabilidad terapéutica.

 

1ª Visita domiciliaria tras la revascularización

Se planificaron visitas domiciliarias tres veces por semana, pero la paciente también precisó atención no programada a demanda. La adaptación al cambio de vida fue difícil y la presencia del personal de su equipo de salud le generaba confianza y mejoraba el afrontamiento.

Se revisó, junto a su hija, el grado de conocimiento de la terapia de actividad, y se fomentó el ejercicio ya prescrito; se valoró el riesgo de caídas y se actuó en la prevención de estas: los desplazamientos, con andador, siempre acompañada y con calzado apropiado. El manejo de la nutrición era adecuado, con ingestas correctas.

Para el tratamiento de la lesión se aplicó la estrategia del acrónimo TIME.

 

Monitorización de la lesión y tratamiento local

Superficie de 9 cm. x 7 cm. Lecho cubierto con tejido de granulación, pero persistía tejido desvitalizado en un 20% aproximadamente, por lo que precisaba desbridamiento cortante en cada cura, previa aplicación de antiséptico. Nivel de exudado moderado. No eritema perilesional.

 

 

Fig. 4. Lesión de 9 cm. x 7 cm. tras la limpieza quirúrgica y la revascularización

 

Se continuó realizando curas con apósito hidrofibra de hidrocoloide con plata durante dos semanas más.

Para proteger la piel perilesional se aplicaba crema barrera en los bordes de la herida. Además, para prevenir la aparición de UPP en talon, se aplicaban ácidos grasos hiperoxigenados en forma de aceite y se protegía con talonera.

Un mes después, el 20/09/2018, la evolución era buena. El tamaño de la lesión había disminuido: medía 7,2 cm x 2,3 cm. Lecho totalmente cubierto por tejido de granulación, exudado moderado y bordes a nivel. Ante la ausencia de signos de infección y la negativización de los cultivos, se pasó a realizar curas con apósito de fibras gelificantes. Se siguió protegiendo la piel perilesional y trabajando en la prevención de UPP.

La movilidad de la paciente había mejorado: podía caminar más distancia con el andador y se cansaba menos. Continuaba precisando ayuda para el autocuidado, pero se mostraba más participativa.


  Fig. 5. Once semanas tras la revascularización, mide 6,5 cm. x 1,3 cm

 

A los dos meses y medio del alta la evolución seguía siendo favorable, la lesión medía 6,5 cm. x 1,3 cm. (Fig. 5) Nivel de exudado escaso. Se decidió mantener el mismo tipo de cura y seguir protegiendo la piel perilesional y el talón.

La epitelización completa se consiguió cinco meses más tarde, en marzo de 2019 (Fig. 6). Los dos últimos meses la lesión había sido milimétrica, pero no se conseguía cicatrización completa. A partir de ese momento, se recomendó realizar cuidados tópicos de la piel: higiene y ácidos grasos hiperoxigenados en emulsión.

La paciente era autónoma para deambular con ayuda de andador.

 

 

  Fig. 6. Epitelización completa de la lesión tras diez meses de tratamiento

 

Discusión

Para la resolución del caso presentado ha sido fundamental el haber realizado una valoración integral de la paciente y un abordaje multidisciplinar en el que participaron el médico y la enfermera de Atención Primaria, cirujanos vasculares, rehabilitadores y enfermeras de hospitalización. Dentro de la valoración integral, la exploración vascular permitió orientar el diagnóstico etiológico adecuadamente y, a nivel psicológico, el apoyo ofrecido a la paciente para mejorar su afrontamiento y ayudarle a superar sus temores resultó, asimismo, determinante: si la paciente no hubiese aceptado un nuevo ingreso para la realización de la arteriografía, tampoco se le habría hecho la angioplastia, y los resultados podrían haber sido muy distintos.

Las enfermeras somos profesionales sanitarios que administramos cuidados y los ponemos en práctica con una visión holística de las personas que atendemos, con el fin de conseguir su bienestar. Para ello, estos cuidados deben estar sometidos a una evaluación de calidad continua y basados en la mejor evidencia científica. Administrando cuidados de calidad, estaremos realizando prevención en iatrogenias.

 

Conclusiones

Los eventos adversos dan lugar a daños innecesarios y prevenibles que generan sobrecargas a los sistemas de salud.

El enfoque multidisciplinar, en un contexto de atención integral del paciente que incluya una adecuada transición entre niveles y facilite la comunicación entre los profesionales, es imprescindible para la resolución de los problemas originados.

 

Bibliografía

1.  Nightingale F. Notas sobre hospitales. Londres: Longmans, Green & Co; 1863.

2.  Cuadernos de la Fundació Víctor Grífols i Lucas Iatrogenia y medicina defensiva. N.º 42 (2017)

3.  Torra-Bou J.E, et al. Las úlceras por presión como problema de seguridad del paciente. Gerokomos. 2016:27(4):161-167.

4.  Ministerios de Sanidad y Consumo. Estudio Nacional sobre los Efectos Adversos ligados a la HospitalizaciónENEAS 2005. Informe. Febrero 2006)

5.  Ministerio de Sanidad y consumo. Estudio EPEAS. Estudio sobre la seguridad de los pacientes en atención primaria de salud. 2008.

6.  Ministerio de Sanidad y consumo. Incidentes y eventos adversos en medicina intensiva. Seguridad y riesgo en el enfermo crítico SYREC 2007. Informe 2009.

7. Documento del grupo de trabajo Sociedad Española de Salud Pública y Administración Sanitaria (SESPAS) y la Organización Médica Colegial (OMC): Iatrogenia: análisis, control y prevención. Junio 2017. Disponible en

     https://sespas.es/wpcontent/uploads/2017/09/IATROGENIA_DOCUMENTO_SESPAS_OMC-junio-2017.

8. Segura-Benedictoa A, Román-Maestreb B, Puyol-González A. Hygea y la virtud o recordando a Protágoras: diálogo sobre ética de la salud comunitaria. Informe SESPAS 2018 Gac Sanit 2018;32 Supl 1:66-8.10.       Stephen-Haynes J. Leg ulceration and wound bed preparation: towards a more holistic framework. Worldwide Wounds. [Internet]. 2007. Dispo-nible en:

     http://www.worldwidewounds.com/2007/october/Jackie-Stephen-Hayes/test.html